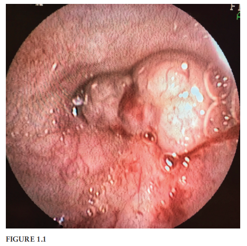
一只从未排便的 6 周龄幼犬
翻译:祁海丽;校对:石慧19 A 6-week-old Boston terrier puppy presents for vaccination. The o...
阅读(718)

兽医英语学习中心翻译:祁海丽;校对:石慧19 A 6-week-old Boston terrier puppy presents for vaccination. The o...
阅读(718)
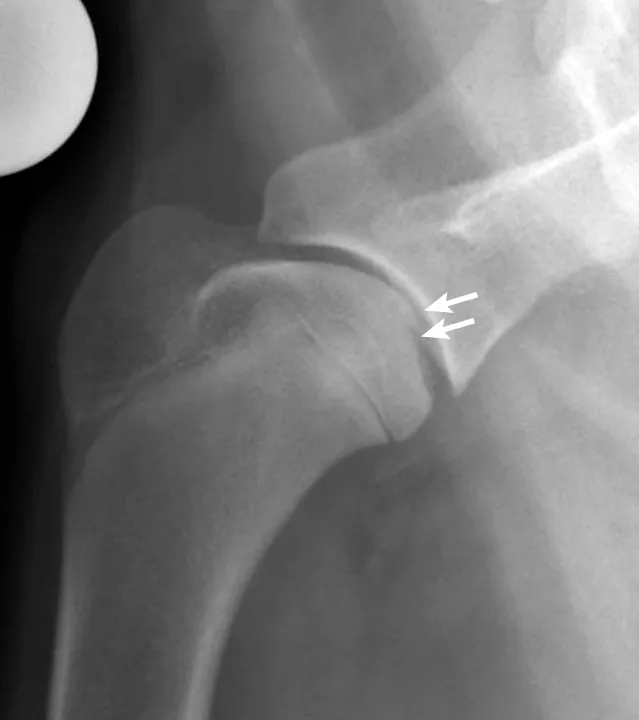
翻译:祁海丽;校对:石慧18 A 6-year-old intact female Labrador retriever dog presents with a...
阅读(972)
翻译:祁海丽;校对:石慧17 This ultrasound image (Figure 17.1) shows the midcervical region...
阅读(902)
翻译:祁海丽;校对:石慧16 A 6-year-old castrated male Maine Coon cat presents with severe r...
阅读(711)
翻译:祁海丽;校对:石慧15 A Border terrier dog presents to your clinic with a complaint of ...
阅读(564)
翻译:祁海丽;校对:石慧14 A 6-year-old female spayed Weimaraner (Figure 14.1) was given a c...
阅读(1009)
翻译:祁海丽;校对:石慧13 You have diagnosed an adult dog with a chronic enteropathy based ...
阅读(612)
翻译:祁海丽;校对:石慧11 Figures 11.1 and 11.2 show fluorescence in situ hybridization (FI...
阅读(988)
翻译:祁海丽;校对:石慧12 A 7-year-old female spayed English Bull terrier presents with an ...
阅读(612)
翻译:祁海丽;校对:石慧10 Figure 10.1 presents an endoscopic view of the greater curvature ...
阅读(813)
一周热门排行
阅读 (6448)
12023 AAHA常见犬猫内分泌疾病指南阅读 (2064)
2犬猫胸腔积液和肺水肿的X光片诊断阅读 (1945)
3腹背位(VD)胸片阅读 (1805)
4X型脱毛:一种有独特表现模式的脱毛阅读 (1762)
5犬猫小肠机械性梗阻的X光片诊断